Skip to main contentAccess keys helpA-Z index
BBCVietnamese.com
chinese
russian
french
Other Languages
21 Tháng 6 2005 - Cập nhật 10h53 GMT
Gửi trang này cho bè bạnBản để in ra
Làm sao biết phụ nữ giả vờ cực khoái?
News image
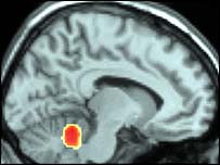
Đây là hình chụp não khi phụ nữ thật sự đạt đỉnh: não gần như không hoạt động
Lần đầu tiên các nhà khoa học đã tìm hiểu được những gì diễn ra trong não của người phụ nữ trong lúc họ đạt, hoặc giả, cực khoái khi quan hệ tình dục.

Các nhà khoa học ở Hà Lan đã sử dụng máy scan não và thấy rằng họ có thể xác định người phụ nữ nào đang giả vờ đạt cực khoái.

Lý do là vì trong cơn cực khoái thật sự, vùng vỏ não, điều khiển phần ý thức của não, đóng lại hoàn toàn.

Còn khi giả vờ, vùng vỏ não vẫn mở.

Máy scan cho thấy trong lúc hoạt động tình dục, những phần trong não phụ nữ có tác dụng kiểm soát nỗi sợ, lo lắng và tình cảm bắt đầu thư giãn và giảm hoạt động. Nó đạt tới đỉnh khi cực khoái, khi mà các trung tâm tình cảm trong não phụ nữ đóng hẳn lại.

News image
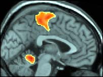
Đây là hình chụp não khi người phụ nữ giả vờ đạt tới đỉnh

Nó cho thấy mặc dù phụ nữ có thể lừa đàn ông khi họ giả vờ đạt đỉnh, nhưng nếu scan phần não bộ thì sẽ thấy sự khác biệt.

Tiến sĩ Gert Holstege, ở Đại học Groningen của Hà Lan và là người đứng đầu cuộc nghiên cứu, nói kết quả có thể dùng để giúp các phụ nữ bị chấn thương hoặc lo lắng về sex.

Tiến sĩ Holstege dùng từ 'deactivation' (ngưng kích hoạt) để nói về khám phá mới:

"Điều chính mà chúng tôi thấy ở người phụ nữ là sự ngưng kích hoạt ở não, rất rõ rệt và không thể tin được. Đây là kết quả chính của nghiên cứu. Ta thấy có sự ngưng kích hoạt ở nhiều phần trong não, đặc biệt là ở khu vực kiểm soát tình cảm và sợ hãi."

"Phụ nữ có thể giả vờ rất khéo là họ đạt đỉnh điểm, nhưng trong não thì khác. Việc ngưng kích hoạt các phần trong não có lẽ là yếu tố quan trọng nhất để đạt cực khoái."

Tên
Họ*
Thành phố
Nước
Điện thư
Điện thoại*
* không bắt buộc
Ý kiến
Đài BBC có thể biên tập lại ý kiến của quí vị và không bảo đảm tất cả thư đều được đăng.
CÁC BÀI LIÊN QUAN
TIN MỚI NHẤT
Gửi trang này cho bè bạnBản để in ra
BBC Copyright Logo^^ Trở lại đầu
Trang chủ|Thế giới|Việt Nam|Diễn đàn|Bóng đá|Văn hóa|Trang ảnh|
Chuyên đề|Learning English
BBC News >> | BBC Sport >> | BBC Weather >> | BBC World Service >> | BBC Languages >>
Ban Việt ngữ|Liên lạc|Giúp đỡ|Nguyên tắc thông tin cá nhân