BBCBrasil.com
70 anos 1938-2008
Español
Português para a África
Árabe
Chinês
Russo
Inglês
Outras línguas
Atualizado às: 27 de maio, 2008 - 10h55 GMT (07h55 Brasília)
Envie por e-mailVersão para impressão
Estudo liga infecção na gengiva a risco de câncer
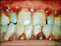
Infecção na gengiva
Infecção na gengiva tem sido associado a problemas de saúde
Infecções na gengiva podem ser um sinal de um maior risco de câncer tanto em fumantes como em não-fumantes, segundo uma pesquisa realizada pelo Imperial College de Londres.

O estudo, publicado no jornal especializado Lancet Oncology, concluiu que aqueles com histórico de infecção na gengiva tem 14% mais chances de desenvolver câncer comparados com aqueles que não têm.

A equipe estudou os registros médicos de 50 mil homens americanos desde 1986 e concluiu que aqueles com problemas na gengiva tinham 30% mais chances de ter câncer no sangue, como leucemia, 36% mais chances de ter câncer no pulmão, quase 50% mais riscos de câncer no rim e um aumento semelhante no risco de câncer no pâncreas.

Pesquisas anteriores sugeriram que os riscos maiores eram entre fumantes, mas o estudo do Imperial College sugere que mesmo em não-fumantes a presença de infecção na gengiva pode representar um maior risco de câncer.

Os cientistas não constataram um aumento no risco de câncer no pulmão em não-fumantes com histórico de infecções na gengiva, mas verificaram um ligeiro aumento no risco geral de câncer neste grupo - e um aumento comparável ao de fumantes nos casos de câncer de sangue.

Explicação

Há várias teorias que tentam explicar as rezões da ligação entre infecção na gengiva a outras doenças.

Os pesquisadores sugeriram que o problema pode ser um sinal de uma fraqueza no sistema imunológico que poderia também permitir o desenvolvimento de câncer.

"Os resultados indicam uma associação na resposta do sistema imunológico à inflamação, o que pode levar a uma suscetibilidade tanto a doenças periodontais como a câncer no sangue", diz o estudo.

No entanto, os pesquisadores também dizem que infecções persistentes na gengiva podem levar a mudanças na resposta imunológica, facilitando o desenvolvimento de câncer, ou que a bactéria que causa a infecção na gengiva possa estar diretamente causando câncer nos tecidos da boca e da garganta quando engolida.

Mas os cientistas não chegaram a recomendar que aqueles que têm problemas na gengiva procurem o médico em vez do dentista.

"Nesse momento, nós acreditamos que qualquer recomendação para a prevenção de câncer com base nesses resultados pode ser prematura. Pacientes com doenças periodontais devem ir ao dentista independentemente do impacto no risco de câncer", concluíram.

SorrisoSorriso perfeito
Estudo revela a fórmula do sorriso perfeito.
NOTÍCIAS RELACIONADAS
ÚLTIMAS NOTÍCIAS
Envie por e-mailVersão para impressão
Tempo|Sobre a BBC|Expediente|Newsletter
BBC Copyright Logo^^ Início da página
Primeira Página|Ciência & Saúde|Cultura & Entretenimento|Vídeo & Áudio|Fotos|Especial|Interatividade|Aprenda inglês
BBC News >> | BBC Sport >> | BBC Weather >> | BBC World Service >> | BBC Languages >>
Ajuda|Fale com a gente|Notícias em 32 línguas|Privacidade