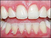
 | | | که دخولې روغتيا ساتنه په پام کې ونه نيول شي، ورۍ پړسوب پيدا او وينې کيږي. |
ورۍ، چې دخوراک پرمهال له خوړو سره نېغې اړيکې لري، دغيرصحي خوړو او په خوله کې دځينو مکروبونو دپيدا کېدو له امله ټپي، مکروبي او پړسوب پيدا کوي. ګلابې، دکابل ښار يوې اوسېدونکې وويل، چې دغاښونودپاک ساتلو سره سره يې له وريو وينه ځي او پړسوب پيداکوي. ډاکتر بهرام سادات د کابل د ستوماتولوژي روغتون متخصص د وريو د ويني کيدو او پړسوب لامل د خولي روغتيا ساتنه په نظر کي نه نيول وګڼل. همدا راز په بدن کې دويټامين سي کموالی اوپه غاښونوکې دخوړو پاتې شونې دوخت په تېرېدو دغاښونوپه منګ بدلې اودوريودخرابېدو لامل کيږي. دا منګ بياهم دوريو دوينې کېدو لامل کيږي.ځينې کسان دوريو دپړسوب پرمهال له هوګې اوپياز اېښودلو نه ګټه اخلي. روغتيا يي کارپوهان کورنۍ درملنه زيان راوړونکي او ان دغاښونودسرطان دپيداکېدو لامل ګڼي.  | | | د ويټامين سي لرونکې مېوې خوړل دوريو دپړسوب او وينې کېدو مخنيوی کوي. |
ددې لپاره، چې له دې ستونزې په امان کې واوسو، بايد تر هر وخت خوړو وروسته برس او کريم وکاروو او بيا مالګينې اوبه غړغړه کړو. د وريو د وينې کيدو او پړسوب په مخنيوي کې د بدن دويټامين سي پوره کول مهمه ونډه لري، چې ليمو، مالټه، نارنج او ترشي لرونکې شنه ترکاري د ويټامين سي غوره منبع ګڼل کيږي. |