BBCHindi.com
अँग्रेज़ी- दक्षिण एशिया
उर्दू
बंगाली
नेपाली
तमिल
शुक्रवार, 17 फ़रवरी, 2006 को 21:04 GMT तक के समाचार
मित्र को भेजेंकहानी छापें
भारत या इंडिया?

भारत या इंडिया?
भारत को अंग्रेज़ी में इंडिया क्यों कहते हैं, जानना चाहते हैं मुंशी सिंह महाविद्यालय, मोतिहारी बिहार से विजय कुमार सिंह.

भारत को इंडिया इसलिए कहते हैं क्योंकि स्वतंत्र भारत के संविधान निर्माताओं ने इस शब्द को अंग्रेज़ों की विरासत के रूप में देश का दूसरा नाम स्वीकार किया. अंग्रेज़ों के भारत पर शासन काल में इंडिया नाम प्रचलित और रूढ़ हो चुका था. जहाँ तक इंडिया शब्द के अंग्रेज़ी में आने की बात है इसके लिए ज़रा पीछे जाना होगा.

भारत का जिन विदेशी व्यापारियों, आक्रमणकारियों, विजेताओं और यात्रियों आदि से संपर्क हुआ, उनके ज़रिए भारत के पुराने नाम सिंधु का उनके देशों में अपने ढंग से प्रचार हुआ. इसके लिए मुख्य रूप से दो स्रोतों का नाम लिया जा सकता है, ईरानी और यूनानी. ईरानी या पुरानी फ़ारसी में सिंधु शब्द का परिवर्तन हिंदू के रूप में हुआ और उससे बना हिंदुस्तान, जबकि यूनानी में ए बना इंडो या इंडोस. बस ए शब्द किसी तरह लेटिन भाषा में जा पहुँचा और इसी से बना इंडिया.

भारत की सबसे बड़ी सीमा किस देश के साथ है, चीन के साथ या बांगलादेश के. जानना चाहते हैं मगरौनी, मधुबनी बिहार से श्याम सुंदर.

बांगलादेश के साथ. कारण ये कि इस सीमा पर भारत के पाँच राज्य पड़ते हैं, पश्चिम बंगाल, असम, मेघालय, त्रिपुरा और मिज़ोराम. इस तरह ये सीमा 4096.70 किलोमीटर लंबी है, जबकि चीन से लगी सीमा की लम्बाई 4000 किलोमीटर है.

सुरजापुर, सुपौल बिहार से मोहम्मद मोहतशिम अंसारी पूछते हैं कि दाँत साफ़ करने वाला पेस्ट किससे और कैसे बनता है.

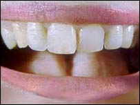
साफ़ दाँत और मुस्कुराहट का रिश्ता
साफ़ दाँत मुस्कुराहट में चार चाँद लगा देते हैं और दाँत टूथपेस्ट से भी साफ़ होते हैं

टूथपेस्ट कई चीज़ों से मिलकर बनता है, लेकिन इसमें सबसे महत्वपूर्ण हैं, फ़्लोराइड- जो अम्ल से दांतों की रक्षा करता है, कैल्शियम फ़ॉस्फ़ेट्स, ऐल्यूमिना, कैल्शियम कारबोनेट और सिलिका- जो दांतों की सफ़ाई का काम करते हैं, और सोडियम लॉरिल सल्फ़ेट या SLS जो झाग बनाता है.

इसके अलावा टूथपेस्ट में नमी बनाए रखने के लिए ग्लिसरिन, सॉरबिटल और पानी मिलाया जाता है. लंबे समय तक वह ख़राब न हो इसके लिए उसमें प्रिज़र्वेटिव्स डाले जाते हैं और स्वाद और रंग के लिए उसमें और तत्व मिलाए जाते हैं.

टूथपेस्ट का इतिहास बड़ा पुराना है. कहते हैं कि कोई पाँच हज़ार साल ईसा पूर्व मिस्र के लोग बैल के खुरों की राख, गंध रस, अंडे के जले हुए छिलके और लावा के पत्थरों को पीसकर, उसमें पानी मिलाकर एक तरह का पेस्ट बनाया करते थे.

ईरान में सन् एक हज़ार में घोंघे के खोल को जलाकर उसमें जिप्सम मिलाकर पेस्ट बनाया जाने लगा. लेकिन इसका इस्तेमाल केवल समृद्ध वर्ग के लोग ही करते थे. अठ्ठारहवीं सदी में इंगलैंड में टूथ पाउडर बनाया गया और फिर आया टूथपेस्ट.

इससे जुड़ी ख़बरें
ऑस्कर में किसकी मूर्ति?
15 फ़रवरी, 2006 | पहला पन्ना
दुनिया का सबसे बड़ा फूल
12 जुलाई, 2005 | पहला पन्ना
सोने के खरेपन का ठप्पा
12 जुलाई, 2005 | पहला पन्ना
स्वर्ण मंदिर को ज़मीन किसने दी?
06 अक्तूबर, 2005 | पहला पन्ना
ताजमहल बनाने में कितना समय?
14 दिसंबर, 2005 | पहला पन्ना
साँपों की औसत उम्र क्या होती है?
01 फ़रवरी, 2006 | पहला पन्ना
इंटरनेट लिंक्स
बीबीसी बाहरी वेबसाइट की विषय सामग्री के लिए ज़िम्मेदार नहीं है.
सुर्ख़ियो में
मित्र को भेजेंकहानी छापें
मौसम|हम कौन हैं|हमारा पता|गोपनीयता|मदद चाहिए
BBC Copyright Logo^^ वापस ऊपर चलें
पहला पन्ना|भारत और पड़ोस|खेल की दुनिया|मनोरंजन एक्सप्रेस|आपकी राय|कुछ और जानिए
BBC News >> | BBC Sport >> | BBC Weather >> | BBC World Service >> | BBC Languages >>