BBC NEWSAmericasAfricaEuropeMiddle EastSouth AsiaAsia Pacific
BBCiNEWS  SPORT  WEATHER  WORLD SERVICE  A-Z INDEX    

BBC News World Edition
 You are in: Health 
News Front Page
Africa
Americas
Asia-Pacific
Europe
Middle East
South Asia
UK
Business
Entertainment
Science/Nature
Technology
Health
Medical notes
-------------
Talking Point
-------------
Country Profiles
In Depth
-------------
Programmes
-------------
BBC Sport
News image
BBC Weather
News image
SERVICES
-------------
EDITIONS
Monday, 7 October, 2002, 23:02 GMT 00:02 UK
Eye disease scan 'lights up brain'
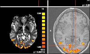
Brain scans showing activity when people see (copyright University of Leicester)
Brain scans showing activity when people see
Scientists are hoping to discover more about eye diseases by "lighting up the brain".

The team from the University of Leicester hope that using a special scanning technique will allow them to see exactly what happens in the brains of patients suffering from such diseases.

Magnetic Resonance Imaging (MRI) is already used to detect abnormalities in the brain such as tumours.


Understanding how the brain works in conjunction with the eyes is an important step to fully understanding what happens in eye diseases


Professor Irene Gottlob, University of Leicester
But the Leicester team are using a technique called functional MRI (fMRI), rarely used to study eye diseases, to examine what happens in the brain when we see, and when there are problems with sight.

fMRI allows researchers to see changes in blood flow in the brain that accompany brain activity.

This means scientists can see which parts of the brain become active, or "light up", as people look at different pictures and patterns.

Control

They hope the technique will help them what happens to the brain in people with common eye problems such as "blind spots", where people have missing parts of their peripheral vision, perhaps due to glaucoma.

Often, people are unaware of these blind spots, so they fail to recognise their symptoms and are treated too late.

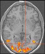
Brain scan (copyright University of Leicester)
Seeing what happens in the brain will enable scientists to learn more about sight disorders
The researchers will also look at the eye movement disorder nystagmus, where the eyes continually "wobble".

This means some people see a continually moving world, but for others things appear normal and stationary.

Professor Irene Gottlob, who is head of ophthalmology at the University of Leicester, said: "Although it may seem obvious that we "see" with our eyes - it is the brain that analyses what our eyes see and controls how our eyes move.

"Understanding how the brain works in conjunction with the eyes is an important step to fully understanding what happens in eye diseases."

She added: "A large part of the brain is involved in processing the information from what the eye sees but also is responsible for controlling the movement of the eye.

The research is being funded by the Ulverscroft Foundation, a charity which funds production of large print books for visually impaired people.

Anita Lightstone, head of low vision and prevention at the Royal National Institute for the Blind told BBC News Online: "This type of analysis will allow a much greater understanding of how we interpret the information received from the eye and we fully support research that enables a better understanding of how the eye and brain function."

Internet links:


The BBC is not responsible for the content of external internet sites

Links to more Health stories are at the foot of the page.


E-mail this story to a friend

Links to more Health stories

© BBC^^ Back to top

News Front Page | Africa | Americas | Asia-Pacific | Europe | Middle East |
South Asia | UK | Business | Entertainment | Science/Nature |
Technology | Health | Talking Point | Country Profiles | In Depth |
Programmes