| You are in: Health | |||||||||||||||||||||||||||||||||||||||||||||||||||||||||||||||||||||||||||||||||||||||||||||||||||||||||||||||||||||||||||||||||||||||||||||
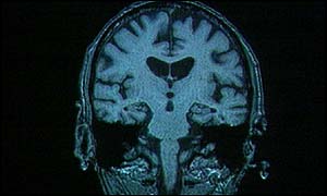
| Wednesday, 4 September, 2002, 23:06 GMT 00:06 UK Fish oil tablets 'could fight M.E.' ![]() The findings are based on scans of CFS patients Chronic fatigue syndrome or ME may be caused by a chemical imbalance in the brain, according to doctors. They have also suggested that taking certain fish oil supplements may help to alleviate some of the symptoms associated with the condition. Chronic fatigue syndrome affects an estimated 243,000 people of all ages in the UK.
Dr Basant Puri and colleagues at Hammersmith Hospital in London used state-of-the-art scanning technology to assess chemical activity in the brain. They examined a group of eight people who had been diagnosed with the syndrome and the same number of healthy people. Brain chemicals They found higher levels of two key chemicals - choline and creatine - in the brains of people with the condition. Choline is important for controlling fat levels in brain cells while creatine provides energy. The doctors said the findings suggested CFS patients had abnormal phospholipid metabolisms. Phospholipids are special types of fats which are an essential component of cells. They are protected by certain types of fatty acids. Doctors at Hammersmith believe fatty acid supplements could help to restore the chemical imbalance in the brain and alleviate the symptoms of CFS. However, the supplements need to have high Eicosapentaenoic acid or EPA if it is to be effective. Dr Puri said: "This study suggests that if patients with CFS take a high-EPA fatty acid supplement, then this should have a beneficial action on the chemical imbalances in the brain which we have identified." But the charity Action for M.E. warned that the condition is complex. Chris Clark, its chief executive, said: "CFS is a complex illness and all the evidence so far suggests that there's no single cause." But he added: "We will look at this research with great interest." The study is published in the journal Acta Psychiatrica Scandinavica. | See also: 03 Nov 00 | C-D 11 Jan 02 | Health 07 May 01 | Health Internet links: The BBC is not responsible for the content of external internet sites Top Health stories now: Links to more Health stories are at the foot of the page. | |||||||||||||||||||||||||||||||||||||||||||||||||||||||||||||||||||||||||||||||||||||||||||||||||||||||||||||||||||||||||||||||||||||||||||
Links to more Health stories |
![]() | ||
| ---------------------------------------------------------------------------------- To BBC Sport>> | To BBC Weather>> | To BBC World Service>> ---------------------------------------------------------------------------------- © MMIII | News Sources | Privacy |